Temas La convicción de ser Médico » El Tráfico oTrata de Personas » La Materia y sus Enigmas en el origen del Universo » Los Mosquitos y las Enfermedades » Muerte y paro cardíaco en participantes de triatlón » Los recuerdos, el tiempo y el cerebro » Los analgésicos derivados del opio u opiáceos » Efectos de la Vitamina D » El Internista y la sub-especialización de la medicina interna » El Estrés y las Enfermedades » Nuevos Tratamiento para Cáncer » Leptina la hormona que hace la diferencia en la obesidad » Causas de muerte en México y en el Mundo » Contaminación del ambiente y de los alimentos por Mercurio » El Ritmo Celular Circadiano y la Cronofarmacología » Adicción a Drogas, ¿Enfermedad Cerebral? » Las adicciones, el cerebro, la sociedad y la legalización. » Palpitaciones inesperadas con mareo » Arritmias cardiacas y embolias » Polineuropatía y Neuropatía » Que cirugía es la mejor para obesidad mórbida » Oxidación y antioxidantes » Somos Agua » El ejercicio extremo puede dañar el corazón » Choque anafiláctico por medicamentos » Día Mundial de la Actividad Física » Lesiones vasculares » El sarampión » La ansiedad y sus consecuencias » Paperas en el adulto » ¿De sexo? » Cáncer de colon y recto, diferencias en grupos étnicos. » ¿Que es la Fiebre Amarilla? » Como evitar la Diabetes Tipo 2 » Glaucoma » El asma en el mundo » La caducidad de los medicamentos » Alteraciones genitales y urinarias de la menopausia » Estudio de los fósiles » Los nódulo de la Tiroides » Influenza 2017 » Apendicitis aguda » Hepatitis por alcohol » Caídas en la tercera edad » Observación del fondo de ojo por su médico » ¿Qué le hace la presión alta al corazón y a los riñones? » El uso del internet con consecuencias mortales » Complicaciones Médicas Asociadas con Terremotos » El Sismo del 19 » Sal, proteínas, grasas y la diabetes » Medicamentos genéricos y la competencia en el mercado » El adulto mayor y la hidratación en México » La oclusión de las arterias carótidas del cuello » Seres humanos con componentes cibernéticos » Insuficiencia Cardiaca » Lesión por knock out » Como evaluar la función de mi corazón » Innovaciones en medicina » La plasticidad del cerebro » Las enfermedades no respetan las fronteras » Reanimación Cardiopulmonar » Deporte y cafeína » La Indigestión » Alergia nasal en la ciudad de México » La certificación de los médicos y la salud en México » Dolor de espalda baja » Que es y cómo funciona el colesterol » La dieta, la pérdida de peso y su relación con el ejercicio » Insuficiencia cardiaca e Infarto, diferencias » La Capacidad de caminar en la tercera edad » ¿Ejercicio para disminuir la mortalidad? » ¿Y después de la fiesta? » La Tos » ¿Estamos en alerta y en emergencia? » La violencia » Evolucionar para crecer » Causas de Muerte más frecuentes » Inmunología, alergia y ejercicio » ¿Quienes viven más y por qué? » Las olimpiadas » Programación fetal » El Suicidio » El tubo o tracto digestivo y sus funciones » Relación de la sal y el corazón » Ejercicio sin nutrición adecuada mala combinación » Evitar riesgo en el ejercicio » Efectos de la cafeína en el organismo » Hipertensión Arterial » Piedras en el Riñón » Relación entre el índice de masa corporal » Dolor del trigémino o neuralgia del trigémino » El consumo de carne y el desarrollo del cerebro » Investigación el sentido del conocimiento » Falla renal en Diabetes frecuente causa de muerte » Prediabetes » La prevención » ¿Grasa en el Hígado? » Ejercicio es Medicina en México (EIMM) » El horror del embarazo inesperado » Fiebre de origen a determinar » Aunerisma de Aorta » Hidratación » Cáncer de la vesícula biliar » Dolor óseo en el crecimiento » Obstrucción intestinal » Infecciones de la piel » Osteoporosis » Infección del Oído Medio » ¿Qué pasa si no duermes bien? » Como destapar un infarto » Crisis convulsivas en un adulto » Los privilegios de la inteligencia » La inflamación muscular en el ejercicio » Artritis Reumatoide » Implantes mamarios » Caminar para tu Salud » Artritis » Obesidad exagerada » Detección de daños al corazón » ¡Cuidado con la lluvia y el Dengue! » ¿La Cama Enferma? » Sarampión » Epidemia respiratoria en Corea » Congreso Internacional de Salud Urbana » Tres generaciones » Obesidad » Congresos médicos » Que es una diarrea » Mes de la Actividad Física » Tuberculosis enfermedad persistente » Función cerebral en el anciano » Piel de gallina » Tumor de la Hipófisis en el cerebro » Delirium tremens » Estrías en la piel » Delirio » Sobre las Adicciones » El sexo, el embarazo y las ... » Menopausia y tercera edad » Síncope de origen cardiaco » Diarrea por Giardia » Crisis convulsivas en la edad adulta » Las adicciones » Tuberculosis » Síndromes para-neoplásico » Tromboembolia » El acceso al conocimiento » Que debemos esperar de nuestro médico » Hemorroides » Uretritis y Cistitis » Si me siento enfermo » Pie Diabético » ¿El VIH o SIDA se cura? » Ebola Virus Mortal » Hipoglucemia tratamiento de emergencia » Tomar vitaminas puede ser dañino » Fragilidad y edad » No te autorecetes » Chikungunya » Ateroesclerosis » ¿Podemos cambiar nuestra genética? » Aneurisma de Aorta (2015) » Roncar y no respirar » Sobreviviente del Cancér » Deterioro intelectual » El Mejor tratamiento » Angina de Pecho » El Derecho a la Salud » Dolor de Cabeza por Migraña » Neurociencia del Amor y la lujuria » Neurociencia del Amor y la lujuria »
☰ Temas

Editorial: Diarrea por Giardia

GIARDIASIS o GIARDIOSIS:

Introducción.

La Giardia es un protozoario parecido a la amiba y que tiene una gran capacidad para producir un proceso inflamatorio en intestino delgado con trastornos de la absorción de líquidos y alimentos, que se manifiesta como diarrea aguda y crónica. Es la infección por protozoarios más frecuente en el mundo (OMS).

Epidemiología

. 200 millones personas presentan la enfermedad en Asia, África, Latinoamérica, con 500 000 casos nuevos/año, con mayor susceptibilidad en la población pediátrica. Las más altas prevalencias se presentan en regiones tropicales y subtropicales, en las zonas rurales de países en desarrollo.

Esta enfermedad afecta mamíferos, aves, reptiles y anfibios lo que facilita su diseminación a través de agua contaminada. Se ha asociado con brotes epidémicos de diarrea en guarderías y zonas industrializadas por contaminación de agua y alimentos.

Cabe resaltar que en México, la prevalencia e incidencia más altas se encuentran entre lactantes, preescolares y escolares.

Hasta ahora, los estudios moleculares han identificado 8 grupos genéticos de Giardias (Bonhomme et al. 2011).

Los subgrupos A y B se encuentran tanto en humanos como en animales. En México se han identificado con mayor frecuencia los ensamblajes AI y AII de perros. (Ryan & Cacciò. 2013; Asher et al)

Especies:

G. duodenalis - principalmente en mamíferos: El humano, otros primates, perros, gatos y un gran número de mamíferos silvestres;
G. agilis - en anfibios;
G. ardeae y G. psittaci - en aves;
G. microti y G. muris - en roedores.

Transmisión.

La enfermedad se contrae principalmente a través de alimentos y agua contaminados con materia fecal de de personas o animales contaminados (incluyendo ganado y animales domésticos) con Giardia.

Otros mecanismos que deben considerarse son: Contacto directo, este agente también puede ser transmitido por contacto sexual, exposición oral-fecal, reportado sobre todo entre sujetos del sexo masculino, y a través de objetos contaminados con materia fecal. La ubicuidad de Giardia es patente en ambientes urbanos, periurbanos y rurales en los que predominan higiene deficiente y hacinamiento.

Morfología.

Giardia es un protozoario que no penetra al torrente sanguíneo (no entra por la pared intestinal a la sangre), reside y se multiplica en la superficie de las primeras porciones del intestino delgado, donde encuentra condiciones favorables para su desarrollo.

Presenta dos formas: trofozoíto y quiste.



Trofozoíto G. duodenalis. S.J. Upton, Kansas University

Giardia sp. Trofozoítos. Microscopía de barrido: Se observa disco ventral, axonemas. Imágenes: Dra. Martha Ponce Macotela. Laboratorio de Parasitología Experimental del Instituto Nacional de Pediatría, México, D.F.

Los quistes son las formas de resistencia infectantes, son eliminados con las heces fecales y transmitidos a otro hospedero, directamente, o a través de vehículos como agua y alimentos. Se estima que 10 - 100 quistes son suficientes como dosis infectante. Después de la ingestión, la exposición al ácido gástrico induce la activación del quiste en reposo. En respuesta al pH alcalino, las proteasas del intestino y señalizaciones propias del parásito, emerge produciendo eventualmente cuatro trofozoitos.

La infección en los seres humanos es a través de una serie combinada de factores, entre los que cuentan la susceptibilidad inmunológica del paciente, la capacidad infectante del parásito y la receptividad del huésped.

El mecanismo de acción para producir diarrea tiene que ver con:

1. El acortamiento de las microvellosidades intestinales que absorben los nutrientes generando malabsorción, hipersecreción de moco y aumento del tránsito intestinal (en conjunto con aumento de permeabilidad)
2. Insuficiencia y disminución de la actividad de algunas enzimas digestivas (ej. lactasa, proteasas, lipasas)
3. Las diferencias genéticas entre grupos de Giardia
4. Variación antigénica - proteínas de variación de superficie (VPSs)
5. Edad, y estado nutricional de quien se enferma
6. Respuesta inflamatoria local
7. Competencia por productos del hospedero: sales biliares, colesterol y fosfolípidos (Cotton et al. 2011).

Que le pasa al intestino:

a) Alteraciones en el borde "en cepillo" de las microvellosidades intestinales.
b) Atrofia o acortamiento de vellosidades.
c) Hiperplasia de las criptas intestinales.
d) Incremento en la permeabilidad celular.
e) Inflamación de la mucosa.
f) Sobrecrecimiento de poblaciones bacterianas.

Los cuadros clínicos oscilan entre el estado de portador asintomático y las enfermedades aguda y crónica.

El período de incubación es de 1 - 2 semanas. Un gran porcentaje de personas presenta infecciones asintomáticas, con malabsorción intestinal imperceptible. Estudios in vitro (en condiciones de laboratorio) demuestran que existe daño celular, con improntas circulares en los sitios de adhesión de la Giardia al intestino.

Entre las manifestaciones de la enfermedad aguda se encuentran: diarrea acuosa o pastosa, esteatorrea (evacuaciones con grasa, generalmente explosivas y fétidas), dolor en boca del estómago después de comer, pérdida del apetito, distensión abdominal, flatulencia y ocasionalmente, cefalea, febrícula, manifestaciones alérgicas (dolores articulares, musculares y urticaria). La enfermedad aguda puede resolverse en unas semanas, aún sin tratamiento, pero un porcentaje importante de pacientes desarrolla una parasitosis crónica, con diarrea recurrente, esteatorrea, evidencia bioquímica de malabsorción de grasas, lactosa y otros disacáridos, vitamina A y vitamina B12, disminución de peso y deficiencias en el crecimiento y desarrollo infantil.

Diagnóstico.

Se establece con los antecedentes del consumo de productos potencialmente contaminados, el cuadro clínico y la detección de cualquiera de las dos formas del parásito en las heces fecales. Prueba de ELISA para captura de coproantígenos en líquido de heces. (Secretaría de Salud, CENETEC, 2012). Búsqueda por Técnicas basadas en la reacción en cadena de la polimerasa (PCR). Endoscopía con examen de contenido duodenal y biopsia intestinal.


Examen directo. Solución salina. Quistes de Giardia. J.C.Fox, Oklahoma State University


Examen directo. Solución salina. Trofozoitos de Giardia. J.C.Fox, Oklahoma State University


Quiste de Giardia. Tinción: lugol. DPDx/CDC.


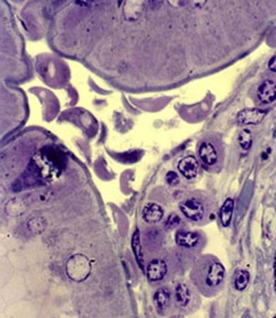
Biopsia duodenal. Trofozoítos. R. Acuña Soto, Facultad de Medicina, UNAM

Tratamiento.

Es sencillo y eficiente y se observa respuesta casi de inmediato mejorando la condición del paciente en pocos días.

Bibliografía
Texto extraído de la publicación de: Dra. Teresa Uribarren Berrueta

Departamento de Microbiología y Parasitología, Facultad de Medicina, UNAM
1. Ryan U, Cacciò SM. Zoonotic potential of Giardia. Review Article. Int J Parasitol, November 2013;43(12–13):943-956.
2. Makiuchi T, Nozaki T. Highly divergent mitochondrion-related organelles in anaerobic parasitic protozoa. Biochimie. 2013 Dec 4. 2013.

Atentamente.

Dr. Alejandro Cárdenas Cejudo.
Presidente
Ejercicio es Medicina en México
Médico Internista
Expresidente del CMIM
Fellow of the American College of Medicine
Miembro del Comité de la ISIM
www.exerciseismedicine.org.mx

☰ Temas

¿Más personas hacen Ejercicio regularmente?

Flujograma de Consultas. El ejercicio es antihipertensivo, vasodilatador, hipnótico, diurético, anorexigeno, reductor de peso, catártico, hipoglicémico, tranquilizante y antidepresivo.
Leer más »

Cursos y Talleres en Línea (Con Aval)

El Curso en línea "Las Ciencias del Ejercicio y la prevención de enfermedades" está conformado por 8 módulos. Curso oficial y avalado por la International Society of Internal Medicine (ISIM)
Leer más »